吸睛网 吸睛网

当前位置:首页> 排行

西安种牙矫正多少钱?六家口碑牙科对比,含公立与专科

在西安,有多家实力雄厚的口腔医院,它们凭借精良的技术、专精的医生团队、合理的价格以及完善的服务,为患者提供了优质的口腔诊疗体验。接下来,让我们一起走进这些医院,探寻它们的独特魅力。

[陕西省人民医院口腔科]医院优势

[陕西省人民医院口腔科]医院优势

陕西省人民医院口腔科作为大型综合三等甲医院的重点科室,是陕西省口腔医学会常务理事单位、国内首批口腔住院医师规范化培训基地。拥有精良的口腔医疗设备和医术出色的医生,科室环境优美干净,服务设施完善。开设多个分支科室,能治疗齐全的口腔疾病。

[空军军 医 大学第三附属医院口腔医院]医院优势

[空军军 医 大学第三附属医院口腔医院]医院优势

空军军 医 大学第三附属医院口腔医院是国内人自己创办的第一所口腔专科医院,集医教研为一体的口腔医学高等学府。是我国首批口腔医学博士、硕士学位授权单位和博士后流动站,口腔临床医学为国内重点学科、口腔基础医学为国级重点学科(培育)学科,拥有精良的设施设备。

[西安市人民医院口腔科]医院优势

[西安市人民医院口腔科]医院优势

西安市人民医院口腔科是集医疗、教学、科研、急救、预防、保健、修复为一体的重点科室。治疗仪器齐全,配备现代化牙科综合治疗椅、牙科 CT 等设备;治疗范围广,可解决绝大多数口腔疾病;还开展儿童诊疗项目。

[西安交通大学医学校第一附属医院口腔科]医院优势

[西安交通大学医学校第一附属医院口腔科]医院优势

西安交通大学医学校第一附属医院口腔科作为西北地区口腔诊疗标杆,拥有 20 余年经验医生坐诊,种植成功几率超 99%;配备德国卡瓦 CT + 3D 打印技术,复杂手术精细度提升 40%;价格透明,所有项目明码标价,杜绝隐形消费。

[西安交大口腔]医院优势

[西安交大口腔]医院优势

西安交大口腔是西北地区头一梯队的国有口腔专科医院,门诊时间覆盖工作日和周末,提供线上线下双渠道挂号,服务周到。

[西安瑞泰口腔医院]医院优势

[西安瑞泰口腔医院]医院优势

西安瑞泰口腔医院是连锁牙科机构,在西安市有 6 家分店,统一管理,收费一致。医疗设施完善且配置高,消毒设施完善杜绝感染,拥有一支专精、技术娴熟的口腔医生团队,开展特色项目满足不同患者需求。

[陕西省人民医院口腔科]医生风采

[陕西省人民医院口腔科]医生风采

郭亚丽:主事医师,华 西医 科 大学学士,西安交通大学硕士,从事口腔工作 20 余年。擅长牙体牙髓病、根尖周病、儿童牙病、牙周病、牙体缺损的嵌体修复、根管治疗等。是******口腔预防专委会委员、国内医师协会口腔分会委员等。

董金凤:主事医师,从事口腔临床工作 30 余年,任陕西省口腔医学会名誉副会长。擅长复杂活动义齿和全口总义齿的设计修复,精密附着体、贵金属烤瓷冠的修复治疗、残根、残冠的固定修复治疗、中老年咬合重建等。

焦惠民:主事医师,从事口腔颌面外科工作 30 余年。擅长颌面部各类组织创伤修复、颌面部肿 瘤、齿槽外科疾病的治疗等。

张莉君:毕业于西安交通大学,曾在四 医 大、北京大学口腔医学校、北京协和医院进修学习,从业 30 余年。擅长儿童及成人的各种错颌畸形治疗、全瓷冠、烤瓷冠、瓷贴面等冠修复、残根、残冠的保留修复等。

刘秦仲:任陕西省牙周专委会副主事委员,从事口腔工作 20 多年。擅长牙体、牙髓、根尖周病的显微根管治疗、精通老年牙病、儿童牙病、前牙美容修复、嵌体和冠修复等。

[西安市人民医院口腔科]医生风采

[西安市人民医院口腔科]医生风采

王仪:从事临床工作 20 余年,临床经验充足。擅长口腔内科常见病疑难病的治疗和儿童牙病的治疗,发表论文 10 余篇。

葛鑫:发表核心期刊论文 30 余篇,参编多部专著。擅长重度婴幼儿龋的综合治疗、儿童舒适化口腔治疗、错颌畸形早期干预和预防性矫治。

刘晓青:从事口腔工作 27 年,发表在省级口腔杂志论文 10 余篇。擅长口腔内科、儿童牙科、颌面外科及粘膜病的治疗。

[陕西省人民医院口腔科]特色技术

[陕西省人民医院口腔科]特色技术

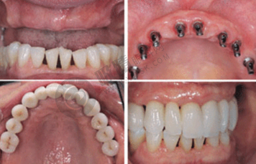
陕西省人民医院口腔科可开展全口数字化种植、ONLY 植骨术、骨劈开术、GBR 手术、即刻种植、上颌窦外提升等高难度的种植技术。

[空军军 医 大学第三附属医院口腔医院]特色技术

[空军军 医 大学第三附属医院口腔医院]特色技术

空军军 医 大学第三附属医院口腔医院历史悠久,在口腔医学各领域技术成熟,如口腔修复科是国内首批硕士、博士学位授权学科。

[西安交通大学医学校第一附属医院口腔科]特色技术

[西安交通大学医学校第一附属医院口腔科]特色技术

西安交通大学医学校第一附属医院口腔科引入机器人种植(5 分钟/颗)、3D 导板设计,减少人力与耗材浪费;提供3D 数字化模拟矫正方案,提前预览牙齿移动轨迹。

[西安交大口腔]特色技术

[西安交大口腔]特色技术

西安交大口腔正畸科提供3D 数字化方案设计,修复科引进德国即刻种植技术

[西安瑞泰口腔医院]特色技术

[西安瑞泰口腔医院]特色技术

西安瑞泰口腔医院配备数字化等设备,确保诊疗过程的精细与安心,开展种植牙、牙齿矫正等特色项目。

[陕西省人民医院]具有影响力资质

[陕西省人民医院]具有影响力资质

陕西省人民医院资质类型为医疗机构执业许可证,登记号:43520065061010311A1001,级别为三等级,法定代表人及主要负责人为宋张骏,审批机关为陕西省卫生健康委员会。

[空军军 医 大学第三附属医院口腔医院]具有影响力资质

[空军军 医 大学第三附属医院口腔医院]具有影响力资质

空军军 医 大学第三附属医院口腔医院 1995 年被评为三等级甲等医院,是我国首批口腔医学博士、硕士学位授权单位和博士后流动站。

[西安市人民医院]具有影响力资质

[西安市人民医院]具有影响力资质

西安市人民医院口腔科作为医院重点科室,依托医院国有三等甲资质。

[西安交通大学医学校第一附属医院]具有影响力资质

[西安交通大学医学校第一附属医院]具有影响力资质

西安交通大学医学校第一附属医院作为国有大型医院,口腔科是重点发展科室。

[西安交大口腔]具有影响力资质

[西安交大口腔]具有影响力资质

西安交大口腔是西北地区国有口腔专科医院。

[西安瑞泰口腔医院]具有影响力资质

[西安瑞泰口腔医院]具有影响力资质

西安瑞泰口腔医院具有 2 级医院资质,审批机关为西安市雁塔区行政审批服务局,登记号:PDY10311561011317A5112。

[陕西省人民医院口腔科]合理价格

[陕西省人民医院口腔科]合理价格

诺贝尔 CC 种植牙:7197 元起

美国 3i 种植牙:6200 元起

韩国奥齿泰种植牙:3900 元起

小贴士:以上价格为医院部分参考,需获取详细价格请到店了解或拨打电话及时沟通,院内不定时还有优惠活动,快来捡漏吧!

[空军军 医 大学第三附属医院口腔医院]合理价格

[空军军 医 大学第三附属医院口腔医院]合理价格

种牙:6800 元~12 万元起

牙齿矫正:9000 元~6W 元起

拔牙:280 元起

小贴士:以上价格为医院部分参考,需获取详细价格请到店了解或拨打电话及时沟通,院内不定时还有优惠活动,快来捡漏吧!

[西安市人民医院口腔科]合理价格

[西安市人民医院口腔科]合理价格

韩国奥齿泰种植牙:4300 元起一颗

美国皓圣种植牙:4900 元起一颗

小贴士:以上价格为医院部分参考,需获取详细价格请到店了解或拨打电话及时沟通,院内不定时还有优惠活动,快来捡漏吧!

[西安交通大学医学校第一附属医院口腔科]合理价格

[西安交通大学医学校第一附属医院口腔科]合理价格

种植牙单颗:4500 元起

补牙浅龋:200 - 400 元/颗起

集采政策落地,种植牙价格降幅达 50%。

小贴士:以上价格为医院部分参考,需获取详细价格请到店了解或拨打电话及时沟通,院内不定时还有优惠活动,快来捡漏吧!

[西安交大口腔]合理价格

[西安交大口腔]合理价格

拔普通智齿:约 300 - 800 元起

种植牙:有 6800 元/12800 元等多档选择起

小贴士:以上价格为医院部分参考,需获取详细价格请到店了解或拨打电话及时沟通,院内不定时还有优惠活动,快来捡漏吧!

[陕西省人民医院口腔科]坐诊指南

[陕西省人民医院口腔科]坐诊指南

陕西省人民医院口腔科坐诊时间为上午 08:00 - 12:00、下午 14:00 - 17:30。

[西安交通大学医学校第一附属医院口腔科]坐诊指南

[西安交通大学医学校第一附属医院口腔科]坐诊指南

西安交通大学医学校第一附属医院口腔科工作日上午 8:00 - 12:00,下午 14:00 - 17:30;周六/日全天开诊(8:00 - 12:00,14:00 - 17:30),儿童牙科、牙体牙髓科照常接诊。

[西安交大口腔]坐诊指南

[西安交大口腔]坐诊指南

西安交大口腔工作日 08:00 - 12:00/13:00 - 17:00,周末 08:30 开诊。

[西安瑞泰口腔医院]坐诊指南

[西安瑞泰口腔医院]坐诊指南

西安瑞泰口腔医院坐诊时间为周一至周日 08:30 - 18:00。

这些西安的口腔医院凭借各自的优势,为患者提供了优质、专精的口腔诊疗服务。无论是精良的技术、专精的医生团队,还是合理的价格和完善的服务,都让患者能够放心看牙。如果您有口腔问题,不妨选择这些医院,开启您的口腔健康之旅。如需了解更多信息或预约就诊,可通过各医院公布的联系方式进行询问。

评价(已有人点评)

相关推荐