想了解佛山广大口腔医院植牙多少钱一颗?别着急,本文将为您详细解析该医院的植牙价格,同时揭秘其在植牙方面的优势。

佛山广大口腔医院单颗种植牙价格多样
佛山广大口腔医院的单颗种植牙价格受多种因素影响,有不同档次可供选择。
| 种植体类型 | 价格 |
|---|---|
| 韩国登腾中高端种植体 | 4800元起/颗 |
| 美国皓圣 | 5000元起/颗 |
| 德国朗斯 | 3799 - 5800元起/颗 |
| 瑞士ITI | 6200 - 9800元起/颗 |
| 法国安卓健 | 7000 - 7800元起/颗 |
| 高端种植体 | 20000 - 30000元/颗 |
| 韩国亲水种植牙 | 1376 - 2148元起/颗 |
| 国产普通种植牙 | 4000元/颗起 |
| 国产品牌种植牙 | 2400元起/颗 |
| 国产高端种植牙品牌 | 6000元/颗起 |

半口及全口种植牙价格
| 种植类型 | 价格 |
|---|---|
| 半口种植牙 | 起价为14000元 |
| 半口All - on - 4种植牙 | 45120元起 |
| 半口All - on - 6种植牙 | 54120元起 |
| 韩系半口套餐 | 13610元起 |
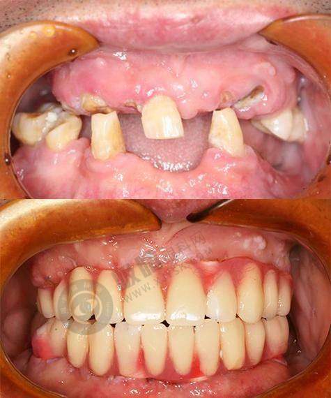
| 全口种植牙 | 起价为36000元 |
| All - on - 4全口种植牙 | 84510元起 |
| All - on - 6全口种植牙 | 105420元起 |

植牙额外费用需知晓
除了上述种植牙项目的基础价格外,患者还需承担一些额外费用。手术费用包括种植牙手术过程中的麻醉费、缝合费等。
检查费用方面,种植牙前需进行全方面口腔检查,如X光片、CT等,这些检查费用会计入总费用。
后续治疗费用也不容忽视,种植牙完成后,患者需进行定期复查和维护治疗,费用需自行承担。需要注意的是,以上价格仅为参考,实际价格会根据患者具体情况、所选种植体品牌以及治疗难度等因素有所浮动。建议患者在决定进行种植牙手术前,先到医院进行详细询问和面诊,以获取更明确的价格信息。

植牙价格受多因素影响
植牙材料是影响价格的重要因素之一。常见植牙材料有钛合金、陶瓷和复合材料等。中高端植牙多采用质量上乘的钛合金或陶瓷材料,价格相对适中;高端植牙使用生物活性更高的钛合金或全瓷冠等,价格自然更高。
技术难度也会对价格产生影响。患者口腔情况不同,植牙手术技术难度有差异。若患者骨量不足,需进行植骨手术,会增加手术费用。医院会根据患者具体情况,量身定制合适的植牙方案,确保既经济又有效。
医生资质同样关键。经验多的医生在手术中能更正确地判断和操作,减少手术风险,提高手术成功几率。虽然他们收费可能稍高,但能保护手术成效,物有所值。
医院环境也会反映在价格上。佛山广大口腔医院配备了精良的口腔医疗设备,致力于为患者提供温馨、舒适的就医环境,这样能让患者有更好的就医体验。

佛山广大口腔医院植牙优势显著
可靠团队是该医院的一大优势。医院拥有一支经验多的专精团队,包括口腔种植医生、口腔外科医生、口腔修复医生等,能够全方面满足患者的植牙需求。
精良设备为植牙服务提供了有力保护。医院引进了国内外精良的口腔医疗设备,如数字化口腔扫描仪、口腔CT等,为患者提供更精细、有效的植牙服务。
个性化服务让患者更放心。根据患者的口腔情况和个性化需求,医院会量身定制合适的植牙方案,确保手术成效自然、美观。
透明收费避免了不必要的纠纷。医院坚持透明收费,确保患者能够清楚了解每一项费用的来源。
技术优势突出。做种植牙前,使用数字化设备进行详细口腔检查,拍出来的片子更清晰,数据更详细,医生能更清楚了解患者牙槽骨情况,制定更适合的种植方案。同时,引进3D可视化导板技术,能将患者口腔情况以3D形式呈现。医生在手术前可在电脑上模拟种植过程,确定种植体的位置、角度、深度等,手术时按模拟方案操作,能更好地避开重要神经和血管,让手术过程更可控。

植牙后注意事项要牢记
植牙手术成功几率高,但术后护理同样重要。手术后,患者需要遵循医生的建议,保持口腔卫生,这有助于预防感染,促进伤口愈合。
患者要避免用患侧咀嚼硬物,以免影响种植体的稳定性。
定期复诊检查也必不可少,这样能及时发现问题并进行处理,确保植牙手术的成功和长期成效。
总之,佛山广大口腔医院在植牙方面价格区间多样,能满足不同患者的需求,同时具备多方面的优势,是患者植牙的可靠选择。如果您对植牙有任何疑问或需要预约询问,请随时联系医院。

评价(已有人点评)