家人们!今天给大家详细公布一下苏州大学附属第二医院预约挂号流程,同时还会为大家介绍口腔科种植牙的医生团队。有口腔问题尤其是想做种植牙的朋友们,这篇文章可要码住了!

苏州大学附属第二医院预约挂号流程公布:医院概况
苏州大学附属第二医院是一所实力强劲的医疗机构。它的眼科创建于2000年,是集医疗、教学、科研为一体的专精眼科中 心,科室设有多个专精组,配备高端诊疗设备,医疗团队实力雄厚,年接诊量超5万人次,开展各类眼科手术2600余例。整形美容外科由赵天兰医生于2006年创立,是苏州市重点专科之一,也是苏州大学博士、硕士研究生的培养基地,掌握高超整形美容外科技术,积累了大量临床经验。而口腔科又称苏大附二院口腔科,和医院同步创建,资历深、资质好。
医院的执业信息如下:
省份 | 审批机关 | 登记号 | 地址 | 诊疗科目 | 级别 | 法定代表人 | 主要负责人 | 执业许可证有效期 |
---|---|---|---|---|---|---|---|---|
江苏省 | 江苏省卫生健康委员会 | 46695632X32050411A1001 | 苏州市三香路1055号、苏州市高新区浒墅关镇修复弄28号、苏州市姑苏区西环路1788号广核苏州科技大厦B座1层西北侧、2、3、4层 | 预防保健科、全科医疗科、内科、外科、妇产科、妇女保健科、儿科、眼科、耳鼻咽喉科、口腔科、皮肤科、医疗美容科、精神科、急诊医学科、职业病科、麻醉科、疼痛科、重症医学科、医学检验科、病理科、医学影像科等 | 3级 | 徐博 | 徐博 | 2021/11/25 - 2026/11/24 |

苏州大学附属第二医院预约挂号流程公布:具体预约方式
为了方便患者就医,苏州大学附属第二医院提供了多种预约挂号方式。
线上预约
您可以访问医院法定网站,注册并登录后,选择相应科室,挑选合适的医生和时间进行预约;也可通过微信公众号搜索“苏州大学附属第二医院”,关注后进入“挂号服务”完成预约流程。
电话预约
拨打医院预约挂号热线(详细电话信息联系平台客服),按语音提示操作或直接与客服沟通,选择相应科室及具体医生进行预约。
现场预约
前往医院门诊大厅,通过自助挂号机或挂号窗口进行现场预约,工作人员将协助您完成挂号手续。

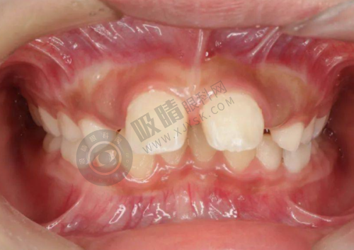
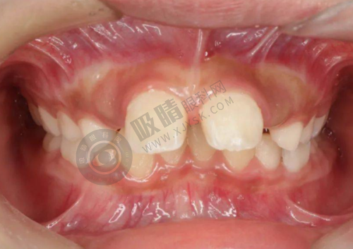
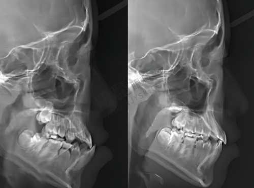
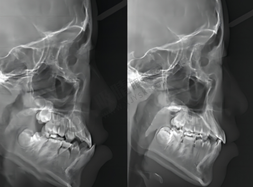
苏州大学附属第二医院预约挂号流程公布:口腔科种植牙优势
苏州大学附属第二医院口腔科在种植牙方面有着显著的优势。
技术与设备
拥有全套种植牙技术和设备,如瑞典Nobel Biocare牙种植机、Branemark和Replace种植系统等。这些精良的设备为种植牙手术提供了有力的保护。
高成活率
该科室的种植牙成活率高,在众多实例中都取得了良好的成效,让患者能够更加放心地进行种植牙手术。

苏州大学附属第二医院预约挂号流程公布:口腔科种植牙医生团队介绍
苏州大学附属第二医院口腔科拥有一支经验多的医生团队,60%具有硕士以上学位,以下为您介绍几位擅长种植牙的医生。
杨建新医生
杨建新医生擅长人工种植牙和烤瓷牙修复等。他凭借丰富的临床经验和不错的技术,为众多患者解决了牙齿缺失的问题,深受患者好评。
钱蕴珠医生
钱蕴珠医生擅长口腔美容义齿修复和口腔种植修复。在种植牙领域,她有着自己独特的见解和技术,能够根据患者的具体情况制定个性化的治疗方案。
马国武医生
马国武医生擅长各类口腔修复治疗。他在工作中认真负责,对待每一位患者都非常耐心,致力于为患者提供优质的口腔医疗服务。

苏州大学附属第二医院预约挂号流程公布:口腔科种植牙价格
以下是苏州大学附属第二医院口腔科种植牙的价格信息:
单颗种植牙
价格在6700 - 15900元起,不同品牌价格不同,如国产种植牙6700元起,韩国登腾种植牙7200元起等。
半口种植牙
费用在5 - 12万元起,如国产半口种植牙5万元起,半口即刻种植牙6万元起等。
全口种植牙
价格为10 - 24万元起,如国产全口种植牙10万元起,全口即刻种植牙12万元起等。
小贴士:以上价格为医院部分参考,需获取详细价格请到店了解或拨打电话及时沟通,院内不定时还有优惠活动,快来捡漏吧!

苏州大学附属第二医院预约挂号流程公布:医院地址及乘车路线
医院的地址是:三香路1055号。
如果您选择乘坐公交,可以乘坐2路、35路、39路、51路、262路、304路、308路、321路、333路、511路、931路公交到附二医院(体育中 心)站下车,步行285米。如果您选择乘坐地铁,可乘坐轨道交通1号线到西环路站下车,步行983米。
综上所述,苏州大学附属第二医院预约挂号流程公布,为大家提供了线上、电话、现场3种便捷的预约方式。同时,医院口腔科种植牙医生团队经验多,技术精良,价格合理。如果您有口腔问题,尤其是想做种植牙,不妨选择苏州大学附属第二医院。欢迎大家随时询问,我们期待为您服务!
评价(已有人点评)