宝子们,是不是一直想知道成都市第一人民医院口腔科地址在哪?今天就给大家详细介绍这家位于双流区东升街道,种植牙5750元起且设备精良的口腔科。让大家全方面了解该科室,以后看牙就不用愁啦!

成都市第一人民医院口腔科地址在哪?医院基本概况
成都市第一人民医院口腔科实际上指的是成都市双流区第一人民医院口腔科。它隶属于成都市双流区第一人民医院,成立于70年代初期,至今已有40多年历史。这可是一个集临床、教学、科研、预防保健为一体的综合性科室。科室下设口腔内科、口腔修复科、口腔正畸科、口腔种植科、口腔颌面外科。
医院地址:成都市双流区东升街道城北上街120号。大家要是想去看牙,可别找错地方啦。

成都市第一人民医院口腔科地址在哪?医院优势尽显
安心就诊环境:科室严格执行一人一机一消毒,让每一位患者都能放心就诊。而且科室宽敞明亮,精良的设备一应俱全,为患者提供了非常安心的就诊环境。
项目一条龙服务:这里开展的项目众多,不管你是牙齿种植、矫正,还是修复、治疗等问题,都能在这里得到解决,真正实现了一条龙服务,大部分牙齿问题都能在这搞定。
医生实力出众:
刘欣:擅长牙颌畸形矫正及牙周病治疗,丰富的临床经验让他在这些领域有着出色的表现。
朗么磋:擅长成人及青少年错颌、畸形矫治和儿童早期正畸治疗等,为不同年龄段的患者提供专精的正畸服务。

成都市第一人民医院口腔科地址在哪?收费标准大揭秘
下面给大家详细介绍一下成都市第一人民医院口腔科的收费标准:
项目 | 具体内容 | 价格 |
---|---|---|
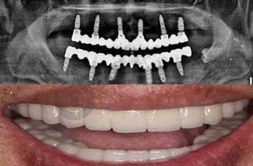
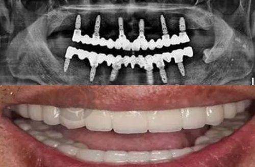
种牙 | 国产康盛种植牙 | 5750元起/颗 |
韩国登腾种植牙 | 5890元起/颗 | |
半口种植牙 | 6.4万元起 | |
全口种植牙 | 12.8万元起 | |
矫正牙齿 | 传统金属托槽矫正 | 9500元起 |
时代天使隐形矫正 | 20000元起 | |
镶牙 | 钴铬合金烤瓷牙 | 750元起/颗 |
爱尔创全瓷牙冠 | 1600元起/颗 | |
其他 | 根管治疗 | 1100元起 |
普通拔牙 | 350元起 | |
美国3m树脂材料补牙 | 290元起/颗 |
小贴士:以上价格为医院部分参考,需获取详细价格请到店了解或拨打电话及时沟通,院内不定时还有优惠活动,快来捡漏吧!

成都市第一人民医院口腔科地址在哪?预约方式特别简单
线下预约:可以到院内自助机或现场人工窗口进行预约。
线上预约:关注医院公众号“成都市双流区第一人民医院”进行预约,也可以在线询问客服预约。
现在大家都清楚成都市第一人民医院口腔科地址在哪了吧,它位于双流区东升街道,种植牙5750元起,设备精良,医生专精。如果你有牙齿方面的问题,不妨选择这家医院。要是还有什么疑问,欢迎随时询问哦。
评价(已有人点评)