北京美冠塔口腔医院地址在哪里?查询到海淀、朝阳有五家连锁店,从乘车线路来看哪家距离更近呢?在当今社会,口腔健康备受人们重视,选择一家专精可靠的口腔医院至关重要。北京美冠塔口腔医院作为高人气的连锁品牌,凭借优质服务和特色技术,赢得众多患者信赖。它在海淀区和朝阳区共设有五家连锁店,为周边居民提供了极大便利。接下来,我们详细了解这些分店的具体地址和乘车线路。

北京美冠塔口腔医院基本信息
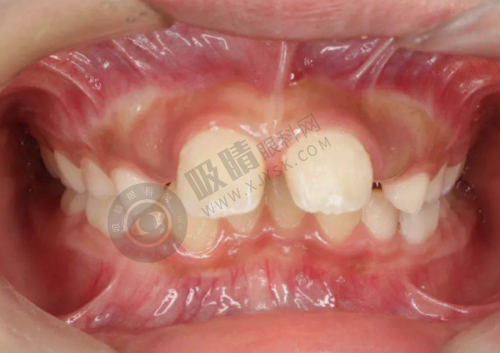
如果您有口腔修复方面的需求,在北京美冠塔口腔医院进行该项目,参考金额大约为 3000 元,预计修复时间为 90 天。不过,具体的费用和修复时间可能会因个人情况和治疗方案的不同而有所差异。

海淀区美冠塔口腔医院 - 新兴桥院
地址:海淀区的新兴桥院位于北京市海淀区复兴路 21 号海育大厦 9 层。这里交通十分便捷,无论是乘坐地铁还是公交都特别方便。
乘车线路:
- 地铁:您可以乘坐地铁 1 号线或 10 号线,在公主坟站 B 口出站,然后步行约 230 米即可到达医院。
- 公交:有多条公交线路途经此地,像 300 内、300 外、323 路、402 路等,您可以根据自己的实际情况按需选择。
优势:该分院位于海淀区的繁华地段,周边紧邻多条公交线路和地铁站。对于在海淀区居住或工作的患者来说,来这里就医非常方便。无论是上班途中顺道就诊,还是周末专程前来,都不会花费太多的时间在路程上。而且,繁华地段周边配套设施完善,就诊前后的生活需求也能得到良好的满足。

朝阳区美冠塔口腔医院 - 酒仙桥院区
地址:酒仙桥院区位于北京市朝阳区酒仙桥路甲 11 号零秒社区首层。这里是朝阳区的繁华商业区,周边生活设施一应俱全。
乘车线路:
- 地铁:乘坐地铁 14 号线,在将台站 A 口出站,步行约 660 米就能到达医院。
- 公交:途经的线路包括 401 路、402 路、408 路等,您可以根据自己的出发地选择合适的公交线路。
优势:由于地处繁华商业区,患者在就诊之余,还可以顺便解决餐饮、购物等生活需求。而且,地铁和公交都能轻松到达,无论您选择哪种出行方式,都能快速到达医院。对于在附近工作或居住的人来说,这里是一个不错的选择。

朝阳区美冠塔口腔医院 - 安华桥分院
地址:安华桥分院的地址是北京市朝阳区***西里三区 10 号楼博纳德大厦 1 - 2 层。这里环境优雅,周边绿树成荫。
乘车线路:
- 地铁:乘坐地铁 8 号线,在安华桥站 C2 口出站,步行约 330 米即可到达。
- 公交:途经线路有 117 路、300 内、302 路等,您可以按需选择。
优势:良好的环境对于患者来说非常重要。安华桥分院周边的绿树成荫,能让患者在就医过程中放松身心。而且,便捷的交通也为患者提供了便利,无论是乘坐地铁还是公交,都能轻松到达医院。在这里就医,患者可以在一个相对舒适的环境中接受治疗。

朝阳区美冠塔口腔医院 - 朝阳路院区(慈云寺店)
地址:朝阳路院区(慈云寺店)位于北京市朝阳区八里庄西里 99 号住邦 2000 商务中 心东配楼 3 层。这里紧邻地铁和公交站。
乘车线路:
- 地铁:乘坐地铁 1 号线或八通线,在四惠站 E 口出站,步行约 1.1 公里就能到达医院。
- 公交:途经线路包括 112 路、115 路、138 路等,您可以根据自己的出行需求选择合适的公交线路。
优势:对于朝阳区东部的患者来说,这家分院非常合适。紧邻地铁和公交站的优势,使得患者可以轻松地到达医院。而且,周边的交通网络发达,即使是从较远的地方过来,也能通过换乘公交或地铁顺利到达。

朝阳区美冠塔口腔医院 - 潘家园分院
地址:潘家园分院位于北京市朝阳区东三环南路农光南里甲 6 号。这里紧邻居民区。
乘车线路:
- 地铁:乘坐地铁 10 号线,在潘家园站 A 口出站,步行约 430 米即可到达。
- 公交:途经线路包括 28 路、378 路、638 路等,您可以按需选择。
优势:由于紧邻居民区,周边的居民如果有口腔问题,可以快速到达医院就诊。这对于一些急需治疗的患者来说非常重要。而且,交通的便捷性也让患者能够享受到特色的口腔医疗服务。

北京美冠塔口腔医院选择建议
该如何选择离自己更近的北京美冠塔口腔医院分店呢?这主要取决于您的具体位置和出行方式。如果您住在海淀区或者靠近公主坟地铁站附近,那么新兴桥院是一个良好的选择。这里交通便利,能让您在较短的时间内到达医院。
而如果您住在朝阳区,或者靠近酒仙桥、安华桥、四惠、潘家园等地,对应的分院会更加便捷。比如,住在酒仙桥附近的患者,酒仙桥院区就是优选;靠近安华桥的患者,可以选择安华桥分院;在朝阳区东部居住或工作的患者,朝阳路院区(慈云寺店)会更合适;潘家园周边的居民则可以优先考虑潘家园分院。

北京美冠塔口腔医院总结
北京美冠塔口腔医院在海淀区和朝阳区的五家连锁店,都具备便捷的交通和优质的服务环境。无论您身处哪个区域,都能找到一家距离较近的分店。患者可以根据自己的实际需求和位置,选择合适的分店就医。乘坐地铁或公交,都能轻松到达医院,并享受到特色的口腔医疗服务。希望大家都能重视口腔健康,选择合适的北京美冠塔口腔医院分店,拥有健康美丽的牙齿。
评价(已有人点评)